Cases

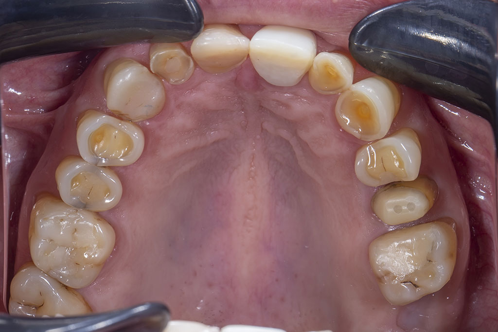
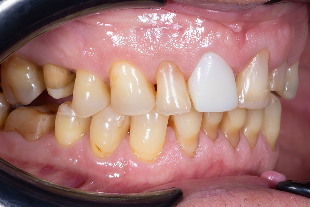
Full Mouth Rehabilitation

Doctor: Dr. Bota Zsolt

Dental Technician: Csomos Dental Laboratory

Treatment:

  • endodontic treatments, fillings;
  • digital wax-up and mock-up, registration of individual mandibular movements;
  • functional and aesthetic restoration of the occlusion using monolithic zirconia crowns and bridges.

Smiles are reborn with us

Opening Hours

© Copyright DR BOTA DENTAL PRAXIS – 2026.