Informații utile
Efectul fumatului asupra cavității bucale
Obiceiul de a fuma poate cauza o serie de probleme de sănătate, în special în cavitatea bucală. Știați că fumatul nu vă afectează doar plămânii, ci vă poate afecta grav și sănătatea orală?
Consecințele fumatului:
- Afecțiuni ale gingiilor: fumatul afectează circulația sângelui, astfel încât gingiile nu primesc nutrienții de care au nevoie, ceea ce poate provoca inflamații și sângerări.
- Cariile dentare: fumatul cauzează xerostomie (uscarea gurii), ceea ce poate duce la un dezechilibru al florei orale și la apariția cariilor dentare.
- Cancere: fumatul crește semnificativ riscul de cancer oral, cancer la gât și alte tipuri de cancer.
- Respirația urât mirositoare: fumatul lasă mirosuri neplăcute și contribuie la respirația urât mirositoare.
În mod important, renunțarea la fumat poate îmbunătăți sănătatea orală. Faceți primul pas către sănătatea dumneavoastră! Luați în considerare renunțarea la fumat și luați măsurile necesare pentru a vă menține sănătatea orală.
Cum să îmi curăț dinții?
Principiile de bază ale unei bune îngrijiri orale
Curățarea dinților nu se referă doar la un zâmbet frumos, ci și la menținerea unei cavități orale sănătoase. O bună igienă orală previne cariile dentare, bolile gingiilor și alte probleme orale. Dar cum ne curățăm bine dinții? Iată câteva sfaturi de bază pentru a vă ajuta să vă îngrijiți eficient și delicat dinții!
1. Folosiți periuța de dinți potrivită!
Alegerea periuței de dinți potrivite este esențială. O periuță de dinți cu peri moi curăță delicat dinții fără a deteriora smalțul dinților sau gingiile. Dacă purtați aparat ortodontic, este o idee bună să alegeți o periuță de dinți specială care ajută și la curățarea zonelor interdentare.
2. Nu uitați de pasta de dinți!
Pasta de dinți cu fluor ajută la întărirea smalțului și la prevenirea cariilor dentare. Este important să o folosiți în fiecare zi, deoarece fluorul ajută la contracararea bacteriilor din gură și protejează dinții de deteriorarea cauzată de acizi.
Utilizați întotdeauna o cantitate de mărimea unui bob de mazăre, astfel încât periajul să fie eficient, dar nu prea agresiv.
3. Tehnica conștientă de periere!
Tehnica adecvată de periaj este la fel de importantă ca și instrumentele potrivite. Cel mai bine este să vă spălați pe dinți cu mișcări circulare mici, evitând mișcările orizontale grosiere, dure, care vă pot afecta gingiile. Periați bine și nu omiteți niciun dinte: curățați suprafețele de masticație, precum și suprafețele interne și externe!
4. Nu rata nimic: curăță-ți și limba!
Limba noastră conține, de asemenea, bacterii care afectează respirația și igiena orală. Folosiți instrument de curățat limba sau o periuță de dinți pentru a vă curăța limba, pentru a scăpa de acumularea de bacterii și a vă asigura o respirație proaspătă.
5. Ața dentară și apa de gură!
Ața dentară este un instrument esențial pentru curățarea spațiilor dintre dinți. Periuța de dinți nu poate ajunge în locurile în care dinții se întâlnesc, astfel încât ața dentară ajută la îndepărtarea plăcii bacteriene acumulate și a resturilor alimentare. De asemenea, puteți folosi apă de gură pentru a vă împrospăta respirația și pentru a ajuta la eliminarea bacteriilor din gură.
6. Nu uita de controalele dentare periodice!
În plus față de îngrijirea orală zilnică, este important să vizitați medicul dentist cel puțin o dată pe an pentru un control amănunțit. Dentistul și igienistul dentar pot ajuta la îndepărtarea plăcii bacteriene și la detectarea la timp a oricăror probleme, cum ar fi cariile dentare timpurii.
7. Care este cel mai bun moment pentru a vă spăla pe dinți?
Cel mai bine este să vă spălați pe dinți dimineața și seara pentru a elimina placa bacteriană și acumukate în timpul meselor zilnice. Cu toate acestea, este important să așteptați cel puțin 30 de minute după masă pentru a vă peria dinții, mai ales dacă ați consumat alimente acide, cum ar fi citricele sau băuturile răcoritoare. Alimentele acide slăbesc temporar smalțul dinților, așa că este o idee bună să vă lăsați dinții să se odihnească înainte de a începe periajul.
8. Nu uitați: moderația este cheia!
Deși igiena orală este importantă, este important să nu exagerați. Periajul prea energic sau utilizarea produselor de albire prea des pot deteriora smalțul dinților și pot irita gingiile. Periajul delicat de două ori pe zi este suficient pentru a vă menține gura sănătoasă.
Îngrijirea orală regulată și completă este esențială pentru menținerea sănătății dinților și a gingiilor. Urmând sfaturile de mai sus și acordând atenție îngrijirii tale orale în fiecare zi, te poți asigura că dinții tăi rămân puternici și sănătoși pentru mult timp. Nu uitați: prevenirea este întotdeauna mai bună decât vindecarea, așa că nu amânați spălatul pe dinți și nu uitați de controalele dentare regulate!
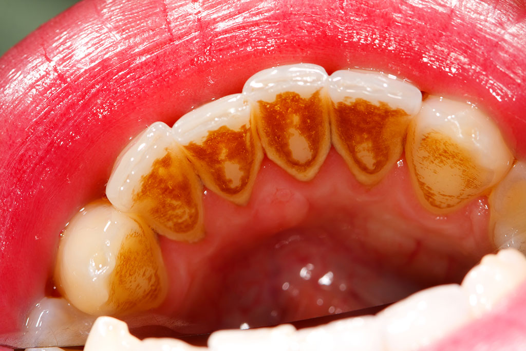
Ce este tartrul?
Tartrul este o placă bacteriană întărită chimic care se formează în cavitatea bucală atunci când mineralele din placă sunt solidificate de salivă. Deși tartrul poate părea inofensiv în stadiile sale inițiale, acesta poate cauza o serie de probleme orale pe termen lung dacă nu este tratat la timp.
Cum se formează tartrul?
În fiecare zi, bacteriile și resturile alimentare se amestecă și formează o placă aderentă la dinți. Dacă această placă nu este îndepărtată în mod regulat prin periaj, ea se amestecă în timp cu minerale precum calciul din salivă și se întărește. Această placă întărită chimic devine tartru.
De ce este periculos tartrul?
- Boli ale gingiilor: tartrul irită gingiile, ceea ce poate provoca inflamații și sângerări. Persistența gingiilor inflamate poate duce la gingivită, care, dacă nu este tratată, poate duce la boala parodontală (parodontoză).
- Cariile dentare: suprafața tartrului este un teren propice pentru dezvoltarea bacteriilor. Acizii produși de bacterii pot deteriora smalțul dinților, provocând astfel carii dentare
- Respirația urât mirositoare: acumularea de bacterii în tartru poate provoca, de asemenea, respirația urât mirositoare, care poate cauza probleme estetice și poate avea un efect dăunător asupra sănătății orale.
- Probleme estetice: tartrul poate duce la apariția unor pete gălbui sau maronii pe dinți, care nu pot fi îndepărtate cu ușurință prin periajul uzual. Acest lucru poate cauza probleme estetice, în special dacă tartrul se acumulează în zone vizibile, cum ar fi suprafața frontală a dinților.
Cum putem preveni formarea tartrului?
Cea mai bună modalitate de a preveni acumularea tartrului este îngrijirea orală regulată și temeinică. Iată câteva sfaturi pentru a vă ajuta să reduceți șansele de apariție a tartrului:
- Periaj regulat: periați-vă dinții de cel puțin două ori pe zi și nu săriți peste periaj seara! Periajul corect îndepărtează placa bacteriană, care este un precursor al tartrului.
- Folosiți ața dentară! Ața dentară ajută la îndepărtarea plăcii bacteriene și a resturilor alimentare care se acumulează între dinți, acolo unde periuța de dinți nu poate ajunge întotdeauna.
- Utilizați apă de gură: Apa de gură poate ajuta la eliminarea bacteriilor din gură și la reducerea șanselor de acumulare a plăcii bacteriene.
- Evitați alimentele zaharoase și acide: alimentele zaharoase și acide (de exemplu, băuturile răcoritoare, dulciurile) pot contribui la formarea mai rapidă a plăcii bacteriene. Mâncatul moderat și consumul de apă vă pot ajuta să vă mențineți gura curată.
- Controale stomatologice regulate: tartrul nu poate fi îndepărtat acasă. Chiar dacă acordați o atenție deosebită îngrijirii orale, vizitați medicul dentist cel puțin o dată pe an. Un dentist sau un igienist dentar poate îndepărta tartrul și placa bacteriană pe care periajul la domiciliu nu le poate elimina complet.
Cum se îndepărtează tartrul?
Îndepărtarea tartrului este de obicei o procedură nedureroasă efectuată în cabinetul stomatologic. Igienistul dentar îndepărtează placa dentară întărită de pe dinți folosind echipamente cu ultrasunete sau instrumente manuale. După tratament, dinții dvs. vor fi mai curați și veți scăpa de problemele legate de placă.
Tartrul nu este doar o problemă estetică, ci poate provoca și boli orale grave dacă nu este tratat la timp. Periajul regulat, folosirea aței dentare și respectarea unei rutine de igienă orală pot ajuta la prevenirea formării tartrului. Dacă acesta s-a format deja, medicul dentist vă poate ajuta să îl îndepărtați și să vă păstrați dinții sănătoși. Nu lăsați tartrul să aibă un efect dăunător asupra igienei dvs. orale și vizitați medicul dentist în mod regulat pentru a vă menține dinții sănătoși!
Informații post-implantare, sfaturi
Informații și sfaturi post-implantare – Cum puteți contribui la o recuperare de succes?
Implanturile dentare oferă o soluție modernă și permanentă la pierderea dinților. Procedura de implant ajută la restabilirea funcției, a capacității de masticație și a esteticii, dar este important să aveți grijă în mod corespunzător de procesul de vindecare pentru un rezultat de succes. Dacă ați urmat recent un tratament cu implanturi, următoarele informații și sfaturi vă vor ajuta să vă recuperați rapid și fără complicații.
1. Urmați instrucțiunile medicului!
Cel mai important lucru este să urmați instrucțiunile medicului dentist sau ale chirurgului oral. Aceștia vă vor spune exact ce trebuie să faceți după procedură pentru a asigura o recuperare fără probleme. Urmarea instrucțiunilor medicului dumneavoastră va contribui la asigurarea unei recuperări reușite și la reducerea riscului de complicații.
2. Relaxați-vă!
După procedură, este important să vă odihniți și să evitați activitatea fizică intensă cel puțin în primele 24 de ore.
Odihna ajută organismul să se recupereze mai rapid și reduce tumefierea și durerea.
3. Răcire pentru a reduce umflarea!
După inserția unor implanturi, este normal să existe o ușoară umflătură în zona operată. Aplicarea unei comprese reci în primele 24 de ore poate ajuta la reducerea tumefacției. Aveți grijă să nu puneți gheață direct pe piele – înfășurați-o într-un prosop subțire sau într-o batistă.
4. Igiena și îngrijirea orală!
Unul dintre cele mai importante lucruri după operație este menținerea unei bune igiene orale. Menținerea locului implantului curat este esențială pentru evitarea infecțiilor. În primele 48 de ore, asigurați-vă că nu vă spălați gura prea energic și nu folosiți apă de gură care conține alcool. De asemenea, puteți folosi o apă de gură antibacteriană recomandată de medicul dumneavoastră pentru a preveni infecția.
5. Analgezice și medicamente!
Este posibil să prezentați dureri ușoare și disconfort după procedură. Medicul dumneavoastră vă poate prescrie analgezice și, eventual, antibiotice pentru a ajuta procesul de vindecare. Nu săriți peste niciun medicament și urmați întotdeauna instrucțiunile medicului cu privire la doza corectă.
6. Nu atingeți implantul!
Nu încercați să manipulați sau să atingeți locul implantului cu degetele. Este important să evitați stresul mecanic excesiv asupra zonei implantare până la osteointegrarea implantului. Acest proces durează de regulă între 3-6 luni, în funcție de tipul de implant pe care îl aveți și de modul în care decurge procesul de vindecare.
7. Recomandări dietetice în timpul recuperării:
În primele câteva zile, încercați să mâncați alimente moi, ușor digerabile, care nu irită zona din jurul implantului. Evitați alimentele chimice, băuturile la temperaturi extreme (prea calde sau prea reci) și alimentele foarte picante, acide. Dacă este posibil, consumați lichide cu ajutorul unui pai.
8. Evitați fumatul!
Fumatul afectează în mod negativ osteointegrarea implanutirlor și crește riscul de complicații, cum ar fi apariția infecției. Cel mai bine este să vă abțineți de la fumat în timpul perioadei de vindecare.
9. Controale periodice!
După implantare, vor fi necesare controale regulate pentru a vă asigura că implantul este în stare bună și că vindecarea progresează bine. Controalele ajută la detectarea oricăror probleme în stadiile incipiente.
10. Durata recuperării complete:
Deși implanturile pot fi plasate rapid, este nevoie de mai mult timp pentru ca implantul și osul să fuzioneze. Acest lucru poate dura de obicei până la 3-6 luni. Nu vă faceți griji dacă nu simțiți rezultatele finale imediat după plasarea implanturilor – vindecarea este continuă și va oferi în cele din urmă o soluție stabilă, permanentă.
Implanturile dentare oferă o soluție permanentă și estetică la pierderea dinților, dar perioada de vindecare trebuie luată în serios. Respectând instrucțiunile medicului dumneavoastră și urmând sfaturile de mai sus, vă puteți bucura de beneficiile noilor implanturi rapid și fără complicații. Nu uitați: cheia unei proceduri de succes este răbdarea și urmărirea atentă! Dacă aveți întrebări sau probleme, consultați întotdeauna medicul dumneavoastră.
De ce îmi sângerează gingiile?
De ce îmi sângerează gingiile? – Un avertisment cu privire la importanța igienei orale
Sângerarea gingiilor este un fenomen familiar pentru mulți oameni, însă mulți tind să îl ignore. Sângerarea, mai ales în timpul periajului sau al mestecării, poate fi un semn serios de avertizare că ceva nu este în regulă în cavitatea bucală. Dar ce ar putea fi în spatele sângerării? Să analizăm cele mai frecvente cauze!
- Gingivita
Cea mai frecventă cauză este îngrijirea orală necorespunzătoare, care poate provoca inflamarea gingiilor din jurul dinților. Acumularea de placă bacteriană și bacterii irită gingiile, care devin inflamate, roșii și sângerânde. Dacă problema nu este tratată la timp, se poate agrava și se poate dezvolta boala parodontală. - Boala parodontală
Dacă gingivita nu este tratată, aceasta poate afecta și țesuturile de sub gingii și poate provoca o boală parodontală severă, care poate duce nu numai la sângerarea gingiilor, ci și la pierderea dinților. De aceea, este important să nu ignorați niciodată sângerarea gingiilor și să consultați imediat un medic dentist! - Tehnica de periaj necorespunzătoare
Periajul prea dur sau necorespunzător poate provoca, de asemenea, sângerarea gingiilor. Periajul prea dur sau folosirea unei mișcări agresive poate irita gingiile, provocând leziuni. Este recomandabil să folosiți o periuță de dinți cu peri moi și să periați ușor și delicat. - Modificări hormonale
În timpul fluctuațiilor hormonale, cum ar fi sarcina, menstruația, utilizarea contraceptivelor sau menopauza, gingiile pot deveni mai sensibile și mai predispuse la sângerări. În astfel de cazuri, trebuie acordată o atenție sporită igienei orale. - Dietă deficitară și carență de vitamine
Vitaminele, în special vitamina C și vitamina K, sunt esențiale pentru menținerea
sănătății gingiilor. O dietă săracă în vitamine poate slăbi rezistența gingiilor și le poate face mai predispuse la sângerări. - Alte boli
Deși mai puțin frecvente, anumite boli precum diabetul, tulburările de coagulare a sângelui sau bolile cardice pot contribui, de asemenea, la sângerarea gingiilor. Dacă sângerarea gingiilor nu dispare, este necesară o examinare medicală.
Ce putem face pentru a preveni sângerarea gingiilor?
- O bună igienă orală: spălați-vă pe dinți de cel puțin două ori pe zi cu pastă de dinți cu fluor și folosiți ața dentară pentru a elimina placa bacteriană acumulată între dinți.
- Controale dentare regulate: este indicat să efectuați un control stomatologic cel puțin o dată pe an pentru a preveni probleme mai grave.
- O dietă adecvată: consumați alimente bogate în vitamine, cum ar fi legumele și fructele, și evitați consumul excesiv de zahăr, care poate duce la o creștere excesivă a bacteriilor.
- Periaj delicat: utilizați o periuță de dinți cu peri moi și aveți grijă să nu deteriorați gingiile prin periajul prea dur.
- Nu ignorați sângerarea gingiilor! Dacă persistă, consultați un medic dentist pentru a preveni probleme orale mai grave. Gingiile și dinții sănătoși nu numai că ne oferă un zâmbet frumos, dar ne îmbunătățesc și starea generală!
Nu ignorați sângerarea gingiilor! Dacă persistă, consultați un medic dentist pentru a preveni probleme orale mai grave. Gingiile și dinții sănătoși nu numai că ne oferă un zâmbet frumos, dar ne îmbunătățesc și starea generală!
De ce îmi sunt sensibili dinții?
De ce îmi sunt sensibili dinții? – Cauze și soluții
Sensibilitatea dentară este un fenomen cunoscut multor persoane. Acest disconfort apare atunci când dinții reacționează exagerat la diverși stimuli, cum ar fi alimente și băuturi reci, fierbinți, dulci sau acre, provocând durere sau disconfort. Dar ce ar putea fi în spatele sensibilității dentare? Și ce se poate face pentru a o atenua?
1. Smalțul ciobit
Smalțul dentar este stratul cel mai puternic al dinților, protejându-i de influențele externe. Atunci când smalțul este subțiat sau deteriorat, dintele devine mai sensibil deoarece dentina, stratul interior al dintelui, intră în contact direct cu lumea exterioară. Subțierea smalțului poate fi cauzată de o serie de factori, cum ar fi consumul excesiv de alimente acide, igiena orală deficitară sau tehnicile de periaj necorespunzătoare.
2. Gingivita și retracțiile gingivale
Atunci când gingiile se inflamează sau se retrag, suprafețele radiculare ale dinților (care nu sunt protejate de smalț) sunt expuse. Acest lucru permite diferiților stimuli să ajungă la stratul de dentină mai sensibil, care poate provoca durere. Gingivita și retracția gingivală sunt cel mai adesea cauzate de o igienă orală deficitară.
3. Cariile dentare
Caria dentară este una dintre cele mai frecvente cauze ale sensibilității dentare. Cariile slăbesc structura dintelui, permit bacteriilor să ajungă la dentină și fac dintele mai sensibil la stimulii termici.
4. După extracția sau tratamentul dinților
Dinții pot deveni mai sensibili după extracția dentară, tratamentul de canal sau obturație, mai ales dacă stratul sensibil de dentină este atins în timpul tratamentului. Acest tip de sensibilitate este temporar și, de obicei, dispare în câteva săptămâni, dar dacă persistă pentru o perioadă mai lungă de timp, poate necesita îngrijiri medicale.
5. Bruxism (scrâșnitul dinților)
Scrâșnitul dinților (bruxismul) poate duce la creșterea uzurii dinților, ceea ce poate duce la subțierea smalțului și la sensibilitatea dinților. În plus, dinții se pot fisura, ceea ce poate provoca, de asemenea, durere.
6. Nutriție precară
Consumul excesiv de zahăr și aciditatea ridicată din alimente și băuturi (de exemplu, băuturi răcoritoare, citrice) pot contribui la deteriorarea smalțului dinților, ceea ce poate duce la dinți sensibili. Dietele deficitare în calciu și fluor pot, de asemenea, să slăbească dinții.
Ce putem face pentru a ameliora sensibilitatea dinților?
- Folosiți pastă de dinți specială pentru dinți sensibili! Diferitele paste de dinți concepute pentru dinții sensibili pot ajuta la reducerea sensibilității, deoarece conțin substanțe care formează un strat protector pe dentină.
- Alegeți o periuță de dinți cu peri moi! Periajul prea agresiv sau utilizarea unei periuțe de dinți dure poate deteriora și mai mult smalțul dinților. O periuță de dinți cu peri moi și mișcări delicate pot ajuta la protejarea dinților.
- Evitați alimentele acide! Alimentele și băuturile precum citricele, băuturile răcoritoare și alimentele care sunt prea fierbinți sau prea reci pot crește și mai mult sensibilitatea dinților. Încercați să consumați aceste alimente cu moderație și clătiți-vă întotdeauna gura cu apă după aceea.
- Control stomatologic: Dacă sensibilitatea dinților persistă, asigurați-vă că mergeți la medicul dentist! Medicul dumneavoastră stomatolog vă poate ajuta să identificați cauza exactă a problemei și vă poate recomanda opțiuni de tratament, cum ar fi tratamente cu fluor sau obturațiile dentare.
- Evitați scrâșnirea dinților: Dacă sunteți predispus la scrâșnitul dinților (bruxism), discutați cu medicul dentist despre o gutieră de bruxism de noapte, pentru a vă proteja dinții de uzură suplimentară.
Sensibilitatea dentară poate fi cauzată de multe lucruri diferite, dar vestea bună este că există multe modalități de ameliorare a durerii. Îngrijirea orală adecvată, utilizarea pastelor de dinți potrivite și controalele dentare pot ajuta la prevenirea și tratarea sensibilității. Nu ignorați sensibilitatea dentară, deoarece aceasta poate duce la probleme mai grave pe termen lung. Dacă aveți orice nemulțumiri, consultați un profesionist!
Când ar trebui îndepărtată o măsea de minte?
Când trebuie îndepărată o măsea de minte? – Important de știut
Măselele de minte (cunoscuți și sub numele de al treilea molar) pot cauza probleme pentru majoritatea oamenilor, iar întrebarea care se pune adesea este când ar trebui să fie extrase. În timp ce multora le cresc măselelor de minte fără a le cauza probleme, alții se pot confrunta cu probleme dureroase care necesită intervenție chirurgicală. Să analizăm când să luăm în considerare extracția măselelor de minte!
1. Durere și inflamație
Dacă erupția unei măsele de minte provoacă durere, gingivită sau infecție, trebuie să consultați un medic. Inflamațiile și durerile frecvente pot fi un semn că dintele trebuie scos pentru a evita probleme mai grave.
2. Locație nepotrivită
Molarii de minte adesea nu se potrivesc corect în maxilar și pot provoca înghesuieli dentare.
Dacă dintele crește orizontal, lateral sau nu erupe deloc, acesta poate, de asemenea, să apese pe dinții din jur, provocând probleme ortodontice și chiar carii dentare. În astfel de cazuri, îndepărtarea molarului de minte poate fi justificată.
3. Cariile dentare sau bolile gingiilor
Din cauza poziției lor în spate, măselele de minte sunt dificil de atins în timpul curățării zilnice și sunt mai predispusela a provoca probleme parodontale. Dacă nu sunt tratate corespunzător, infecția poate afecta și dinții învecinați.
4. Chisturi sau tumori
În unele cazuri, se pot forma chisturi sau tumori în jurul măselei de minte. Aceste anomalii pot afecta osul și gingiile din jur, astfel încât îndepărtarea dintelui poate fi urgentă pentru a preveni complicațiile ulterioare.
5. Dizarmonii severe ale dinților
Creșterea molarilor de minte poate provoca deformarea arcadei dentare, ceea ce, pe termen lung, poate duce la alinierea greșită a dinților. Dacă purtați aparat ortodontic și măselele de minte interferează cu alinierea corectă a dinților, se recomandă îndepărtarea lor.
6. Acțiune preventivă
Chiar dacă măseaua de minte nu provoacă acuze dureroase, stomatologii recomandă uneori ca dinții cu probleme să fie îndepărtați la o vârstă fragedă, ca măsură preventivă, deoarece tratamentul la o vârstă mai fragedă poate fi asociat cu mai puține complicații. Îndepărtarea se face adesea atunci când dinții nu sunt complet dezvoltați, astfel încât vindecarea poate fi mai rapidă.
Cum se îndepărtează o măsea de minte?
Măselele de minte sunt de obicei îndepărtate sub anestezie locală, ceea ce înseamnă că zona din jurul dintelui nu va fi dureroasă, dar pacientul va rămâne treaz. În cazurile mai complicate, în care dintele este încleștat sau apar alte dificultăți, poate fi necesară anestezia generală. Recuperarea după îndepărtare poate dura câteva zile, dar cu o îngrijire ulterioară adecvată și odihnă, recuperarea poate fi rapidă.
Când ar trebui să consultați un medic?
Dacă aveți probleme cu măselele de minte – fie că este vorba de durere, umflături, infecții sau creșterea necorespunzătoare a dinților – este indicat să consultați un medic dentist cât mai curând posibil. Diagnosticarea timpurie vă poate ajuta să evitați complicații mai grave.
Rezumat:
Îndepărtarea molarilor de minte nu este întotdeauna necesară, dar dacă acestea cauzează probleme, îndepărtarea poate fi esențială pentru menținerea unei cavități orale sănătoase. Dacă observați orice semne, nu ezitați să solicitați sfatul medicului pentru a evita probleme mai grave mai târziu!
Mi se mișcă dinții!
Mobilitatea dinților este un fenomen îngrijorător cu care se confruntă mulți oameni și este important să cunoașteți cauzele și ce trebuie să faceți. De obicei, mobilitatea dinților se datorează următoarelor probleme:
- Boli parodontale: gingivita și atrofia gingivală sunt cele mai frecvente cauze. Aceste boli încep cu o infecție a gingiilor, iar dacă nu este tratată, parodontita poate provoca mișcarea dinților.
- Aliniere ortodontică incorectă: dacă dinții nu sunt aliniați corect, mușcătura nu este uniformă și acest lucru poate provoca mișcări. Tratamentul ortodontic poate ajuta la restabilirea poziției corecte.
- Cariile dentare: dinții cariați devin slabi și tind să se miște. Durerea și sensibilitatea cauzate de cariile dentare pot fi, de asemenea, un semn că trebuie să consultați urgent un dentist.
- Traumatisme: Accidentele sau rănile pot duce la mobilizarea dinților. În aceste cazuri, este necesară asistență medicală imediată.
Este important să acordăm atenție igieneiorale! Periajul de două ori pe zi, folosirea aței dentare și controalele dentare regulate sunt esențiale pentru sănătatea dinților noștri. Dacă observați că dinții dumneavoastră se mișcă, nu așteptați! Consultați un medic stomatolog care poate determina cauza problemei și poate începe tratamentul potrivit.
De ce îmi pocnește maxilarul?
Mulți oameni se confruntă cu clicuri în articulația temporo-mandibulară, ceea ce poate fi o senzație inconfortabilă și îngrijorătoare. Dar ce s-ar putea ascunde în spatele acestui lucru?
Cauze posibile ale pocnetului maxilarului:
- Tulburări ale articulației temporomandibulare (ATM): Tulburările articulației maxilare sunt cea mai frecventă cauză a clicurilor. Tensiunea musculară sau poziționarea incorectă a maxilarului pot contribui, de asemenea.
- Dinți încleștați și strânși: în situații de stres, mulți oameni își pot vedea maxilarele încleștate fără să observe, ceea ce poate cauza probleme în timp.
- Artrită: Inflamația articulației maxilare poate provoca durere și clicuri, care pot necesita asistență medicală.
- Anomalii ale protezei dentare: dinții stricați sau proteza dentară montată necorespunzător pot provoca, de asemenea, această problemă.
Ce puteți face?
- Căutați un specialist: dacă clicul maxilarului este deranjant, este important să consultați un dentist sau un specialist. Ei vă pot ajuta să descoperiți cauza și să găsiți tratamentul potrivit.
- Gestionarea stresului: încercați să utilizați tehnici de relaxare precum meditația sau exercițiile de respirație pentru a reduce tensiunea.
- Exerciții de relaxare musculară: dacă vă confruntați cu încleștare sau strângere a maxilarului, faceți exerciții de relaxare musculară în zona gurii și a maxilarului.
Îmi scrâșnesc dinții
Măcinarea dinților (bruxismul) este un fenomen comun, dar adesea trecut cu vederea, care afectează nu numai sănătatea orală, ci și starea generală. Este important să fim conștienți de cauzele și consecințele sale.
Ce este bruxismul?
Bruxismul apare atunci când oamenii scrâșnesc sau strâng dinții involuntar, de obicei în somn sau în situații stresante. Acest fenomen poate fi cunoscut multora, dar nu toată lumea este conștientă de el.
Cauzele scrâșnirii dinților:
- Stresul și anxietatea: stresul cotidian, anxietatea sau tensiunea sunt factori declanșatori generali ai scrâșnitului dinților.
- Tulburările de somn: tulburările de somn, cum ar fi apneea în somn, pot juca, de asemenea, un rol în scrâșnitul dinților.
- Mușcătură necorespunzătoare: Dinții poziționați necorespunzător sau protezele dentare nepotrivite pot irita articulația maxilarului.
- Genetică: bruxismul poate fi observat și la membrii familiei, sugerând că poate fi moștenit.
Consecințele scrâșnirii dinților:
- Deteriorarea dinților: frecarea constantă poate cauza uzura, fisurarea și sensibilitatea dinților.
- Durere și disconfort: încleștarea maxilarului și a mușchilor faciali poate provoca durere, care poate afecta activitățile zilnice.
- Probleme orale: scrâșnitul dinților poate contribui la apariția bolilor gingiilor și a altor afecțiuni orale.
Ce puteți face?
- Căutați ajutor specializat: Dacă observați că vă scrâșnesc dinții, trebuie să mergeți la un dentist sau la un specialist. Aceștia vă pot ajuta cu diagnosticarea și tratamentul adecvat.
- Gestionarea stresului: utilizați tehnici de relaxare precum meditația, yoga sau exercițiile de respirație pentru a reduce nivelul de stres.
- Dispozitiv de noapte pentru înălțare a mușcăturii: o gutieră personalizată de înălțare a mușcăturii vă poate ajuta să vă protejați dinții de bruxism.
Suptul degetelor la nou-născuți
Suptul degetului la nou-născut este un comportament natural care oferă copiilor mici un sentiment de confort și siguranță. Pentru bebelușii din primele luni și din primii ani, suptul degetului face adesea parte din reflexul de supt și ajută la autocalmare, în special înainte de somn sau în situații stresante.
Deși suptul nou-născutului este normal și adesea temporar, este important să îl monitorizați pentru a vă asigura că nu devine un obicei permanent. Dacă un copil persistă prea mult timp cu suptul degetelor, acesta poate avea efecte pe termen lung asupra dezvoltării dinților și sănătății gingiilor. De asemenea, poate cauza probleme psihologice dacă obiceiul este abandonat prea târziu.
Părinții își pot ajuta copilul să găsească treptat alte modalități de a se liniști. Un mediu iubitor și atent și o tranziție treptată pot ajuta un copil mic să renunțe singur la suptul degetelor. Dacă obiceiul persistă prea mult timp sau dacă există semne îngrijorătoare, este indicat să solicitați ajutor profesional.
Ce trebuie să știți despre utilizarea suzetelor?
Suzetele sunt cele mai frecvent utilizate dispozitive pentru calmarea bebelușilor. Acestea îi pot ajuta pe bebeluși să adoarmă, le pot ameliora senzația de durere și pentru mulți părinți reprezintă o modalitate rapidă de a calma bebelușul. Cu toate acestea, este important să fiți conștienți de efectele utilizării pe termen lung a unei suzete, astfel încât dezvoltarea bebelușului să nu fie afectată.
Avantajele unei suzete:
- Efect liniștitor: poate ajuta bebelușii să se calmeze, în special atunci când le este sete, sunt obosiți sau anxioși.
- Ajutor pentru somn: suzetele ajută mulți bebeluși să adoarmă mai ușor, îmbunătățind calitatea somnului.
Potențiale dezavantaje ale suzetei:
- Probleme de dezvoltare a dinților: utilizarea unei suzete pentru o perioadă îndelungată, în special după vârsta de 2-3 ani, poate afecta dezvoltarea dinților și a maxilarului. Pe termen lung, aceasta poate provoca deformarea dinților și tulburări ale mușcăturii.
- Întârzierea dezvoltării vorbirii: utilizarea frecventă a unei suzete poate afecta dezvoltarea vorbirii prin reducerea dezvoltării corespunzătoare a mușchilor gurii și buzelor.
- Dependența: dacă copilul devine prea obișnuit cu suzeta, poate deveni dificil să o lase, ceea ce poate cauza probleme pe termen lung.
La ce să fiți atenți?
- Mențineți utilizarea suzetei cu moderație: limitarea utilizării suzetei poate ajuta la evitarea efectelor pe termen lung. Ideal este ca bebelușul dvs. să o folosească până la vârsta de 6 luni și apoi să înceteze treptat.
- Alegeți suzeta potrivită: Alegerea dimensiunii și a materialului potrivit este important pentru a evita problemele orale.
- Nu o folosiți ca soluție în orice situație: nu folosiți suzeta de fiecare dată când copilul plânge. Este important ca acesta să învețe să se calmeze în alte moduri, cum ar fi îmbrățișarea părintelui sau alte mijloace de reasigurare.
Suzeta poate ajuta la liniștirea copilului, dar, ca în cazul tuturor instrumentelor, echilibrul este important. Fiți atenți la dezvoltarea copilului dvs. și, dacă folosește suzeta prea mult timp, încercați să renunțați ușor și treptat la ea. Igiena orală și controalele stomatologice sunt, de asemenea, în timpul utilizării suzetei!
![[:ro]logo[:]](https://drbotadent.ro/wp-content/uploads/2024/06/logo.png)